De vill hjälpa kroppens immunförsvar att attackera cancern

Docent Helen Kaipe och doktoranden Laia Gorchs forskar på hur tumörer i bukspottkörteln kan göras mottagliga för behandling. De vill göra tumören mottaglig för behandling, där ett sätt kan vara att få kroppens egna immunceller att hitta fram till tumören.
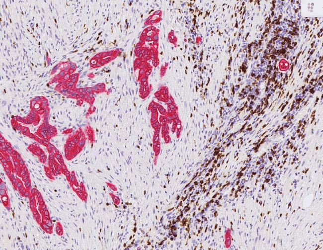
Helen och Laia studerar kroppens egna immunförsvar i form av T-celler. Dessa T-celler ska försvara kroppen mot cancer, men vid tumörer i bukspottskörteln hämmas deras aktivitet. Anledningen är att det bildas ett tjockt lager av bindvävceller (cancerassocierade fibroblaster) runt tumörerna som förhindrar att T-celler ens förflyttar sig mot tumörerna. Fibroblasterna förhindrar även kemoterapi.
”Tumören svarar inte på cytostatika och då är det enda alternativet en omfattande operation. Tyvärr upptäcks de flesta fall av bukspottkörtelcancer när tumören redan spridit sig till andra organ i kroppen och det är då inte möjligt att operera bort tumören” säger docent Helen Kaipe, vid Karolinska institutet.
Målet med Helen Kaipe och Laia Gorchs forskning är att få kroppens egna immunceller att hitta fram till tumören. På sikt kan forskningen leda fram till utveckling av nya typer av immunterapier som kan användas för behandling av bukspottkörtelcancer.
Mer pengar till forskning på bukspottkörtelcancer behövs för att rädda fler liv!




















